小米造车后的下一个梦想,雷军已经选好了?

小米造车后的下一个梦想,雷军已经选好了?

造车成功的小米,下一个战略方向会不会是人形机器人?近日,雷军接受《北京日报》采访时释放要做机器人的讯号,称“未来5年小米工厂要被人形机器人占领, 家庭才是终极战场。”

中国科学家,发现抗癌“新利器”

中国科学家,发现抗癌“新利器”

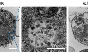
你是否会因接触花粉而喷嚏不断,或是困扰于品尝海鲜导致的红肿瘙痒?中国科学家敏锐地捕捉到了这类过敏反应中的玄机,并尝试把这种过度的免疫响应转化为对抗肿瘤的“新利器”。12月10日,相关论文发表 于国际学术期刊 《细胞 》。

可在多种环境执行任务,堪称“六边形战士”,国产“九天”无人机首飞成功

可在多种环境执行任务,堪称“六边形战士”,国产“九天”无人机首飞成功

强大的载荷能力是优势据了解,作为我国自主创新的大型通用无人机平台,“九天”无人机的机长达16.35米,翼展25米,最大起飞重量16吨,最大任务飞行高度1.5万米,最大飞行速度每小时700公里,航时达12小时,转场航程达7000公里,载荷能力达6吨,性能指标位居同类产品前列。

找到人工客服的最好方法,除了发疯还有什么?

找到人工客服的最好方法,除了发疯还有什么?

听着不难? 你真别小瞧这事 ↓ ↓ 即便这事隔三差五就要被各种舆论扫射一番,声量很大。

苹果“四大金刚”撤退后,库克还能干多久?

苹果“四大金刚”撤退后,库克还能干多久?

出品|搜狐科技作者|张雅婷编辑|杨锦一向以高度稳定著称的苹果管理团队,正经历十多年来罕见的人事震荡。

Mate80发布后,华为重夺中国手机市场第一

Mate80发布后,华为重夺中国手机市场第一

12月11日,市场研究咨询机构最新发布的数据显示,自华为Mate80系列发布以来,华为手机国内市场份额连续2周超越苹果,重夺国内市场份额第一。

原创 
            这事有点诡异:“中国英伟达”上市3天,H200芯片就解禁了

原创 这事有点诡异:“中国英伟达”上市3天,H200芯片就解禁了

当然特朗普也是打了一手好算盘,那就是英伟达销售H200的25%要上交给美国政府,这已经是不装了,直接明抢,直接出手抢钱。

中国航天生力军:多所大学研发卫星成功上天

中国航天生力军:多所大学研发卫星成功上天

多颗学生造卫星成功上天12月10日中午12时03分,由中山大学学生团队自主研制的立方星逸仙-A星,在酒泉卫星发射中心由中科宇航力箭一号遥十一运载火箭发射升空,成为世界首颗成功在轨开展木质外板验证的卫星。

智元、宇树狂砸1亿打广告,还有钱做研发吗?

智元、宇树狂砸1亿打广告,还有钱做研发吗?

斥资上亿元进行营销,在互联网领域或许司空见惯,但对于尚处产业化早期、盈利能力普遍薄弱的机器人行业而言,堪称惊人之举。有机器人行业从业者对凤凰网科技表示,“这个金额令人咋舌,如果拥有这笔资金,我们更倾向于投入研发”。

年终大冲刺,中美科技大厂都杀疯了

年终大冲刺,中美科技大厂都杀疯了

文 | 华商韬略 杨彼得年关将近,科技大厂在AI领域集体发力。11月中旬,阿里发布全新集团战略项目千问,号称迄今最强模型;蚂蚁上线新一代AI助手“灵光”,主打30秒生成可交互应用。

正在加载中...

已加载全部内容

已经没有更多文章了

联系我们

联系我们

13000001211

在线咨询: QQ交谈

邮箱: email@wangzhan.com

关注微信
微信扫一扫关注我们

微信扫一扫关注我们

关注微博
返回顶部